Home » Services » Restorative Dentistry » Direct Dental Restorations » Composite Veneers
Composite Veneers in Burbank
Conservative Aesthetic Improvements With Immediate Results
Direct Veneer Treatment Designed for Natural Smile Enhancement
What We Treat
Composite Veneers in Burbank
Chipped or Worn Teeth
Discoloration and Surface Irregularities
Gaps and Minor Alignment Concerns
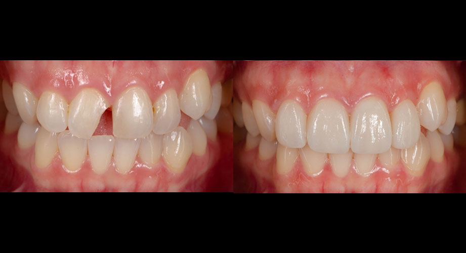
Some of Our Work
Before & After
What to Expect During Composite Veneer Treatment in Burbank
Advanced Materials and Patient Comfort
Client Testimonials
What Our Clients Say
I went in as a new patient and my experience was amazing. From the ladies in the front especially Ana who made a stressful day be not so stressful with her positive energy, to the Doctor being so gentle on a filling that I needed. Wonderful customer service and I will be back again highly recommended.
I had an awesome visit with sahar! She’s an amazing hygienist and I really feel like my teeth got a good cleaning! Thank you to Dr kalmanovich as well for all the tips for my sleep! I’ll def be back soon!
Dr. K. has done great work on my teeth! My smile is getting much better because of all he has done to improve the look and comfort of my teeth (I have many dental problems). He and his staff are very professional and take care of his patients great at listening to our concerns. They do it all
Very good dentist and I’ve been seeing him for years. Simple but nice office. Friendly. Straightforward and trustworthy about my dental issues but not super pushy if I can put it off some fixes a bit. Also really knows what he’s doing. Highly recommended as an everyday dentist. Also as a ‘having a problem’ dentist. This one has become my ‘dentist guy’.
Composite Veneers FAQ
What are composite veneers made of?
How are composite veneers different from porcelain veneers?
Are composite veneers permanent?
Do composite veneers look natural?
Can composite veneers be repaired if damaged?
Flexible Financing
Insurances We Accept
We accept most insurance providers. If you have specific questions regarding your coverage, please contact us for additional information.
Contact Us
We Are Here To Help
Clinic Hours:
Monday, Wednesday, Friday: 9 AM – 5 PM
Tuesday, Thursday: 9 AM – 6 PM
Saturday: 9 AM – 2 PM
Sunday: CLOSED
