Dental Extractions In Burbank, CA
General Dentistry in Burbank, CA
Expert Dental Extraction in Burbank
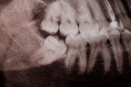
Dental extraction becomes necessary when decay, trauma, or infection has compromised the tooth beyond repair. Our clinical process includes digital imaging, surgical assessment, and evaluation of whether preservation through root canal therapy is possible. If extraction is indicated, we use minimally invasive techniques to ensure predictable, efficient results.
We Offer:
- Routine (simple) tooth extractions
- Complex or surgical extractions
- Infection control and immediate stabilization
- Tooth replacement options after extraction
Our Extraction & Related Services
Dental Extraction Services
Tooth Extraction
Wisdom Tooth Removal
Impacted or improperly positioned wisdom teeth can cause pain, infection, and pressure on nearby teeth. We perform in-office surgical removal supported by CBCT imaging for accurate planning. Treatment focuses on safe extraction, reduced complications, and long-term oral health.
Dental Implants (Post Extraction)
Root Canal Evaluation
If a tooth can be preserved, root canal therapy may be a better alternative to extraction. We assess the tooth’s structure and infection level to determine whether restoration is predictable. Extraction is recommended only when preservation is not clinically reliable.
Some of Our Work
Before & After
What to Expect During Your Dental Extraction
Your visit begins with a detailed clinical evaluation, including digital X-rays or CBCT imaging to assess tooth structure, root anatomy, and surrounding bone. Dr. Kerikorian explains your treatment options clearly and recommends the approach that offers the best long-term outcome. If an dental extraction is needed, the procedure is performed with a minimally invasive technique and careful attention to comfort. Our team also reviews post-procedure guidance and next-step restorative options, such as implants, when appropriate.
Advanced Technology and Patient Comfort
Green California Dental Group uses modern surgical instruments, digital radiography, and 3D imaging to plan dental extractions with greater accuracy and safety. Nitrous oxide is available for patients who prefer additional comfort, and sedation can be provided for more complex surgical cases. This combination of technology and clinical precision allows us to deliver efficient treatment with reduced stress, minimal discomfort, and predictable healing.
Client Testimonials
What Our Clients Say
I went in as a new patient and my experience was amazing. From the ladies in the front especially Ana who made a stressful day be not so stressful with her positive energy, to the Doctor being so gentle on a filling that I needed. Wonderful customer service and I will be back again highly recommended.
I had an awesome visit with sahar! She’s an amazing hygienist and I really feel like my teeth got a good cleaning! Thank you to Dr kalmanovich as well for all the tips for my sleep! I’ll def be back soon!
Dr. K. has done great work on my teeth! My smile is getting much better because of all he has done to improve the look and comfort of my teeth (I have many dental problems). He and his staff are very professional and take care of his patients great at listening to our concerns. They do it all
Very good dentist and I’ve been seeing him for years. Simple but nice office. Friendly. Straightforward and trustworthy about my dental issues but not super pushy if I can put it off some fixes a bit. Also really knows what he’s doing. Highly recommended as an everyday dentist. Also as a ‘having a problem’ dentist. This one has become my ‘dentist guy’.
Frequently Asked Questions
When is a dental extraction necessary?
Dental extraction is recommended when a tooth is too damaged or infected to be predictably restored. We confirm this through imaging and clinical evaluation.
Are wisdom teeth always removed?
Can I replace a tooth immediately after it is removed?
Do you offer sedation during dental extractions?
How do I know if a root canal is a better option than a dental extraction?
Flexible Financing
Insurances We Accept
We accept most insurance providers. If you have specific questions regarding your coverage, please contact us for additional information.
Contact Us
We Are Here To Help
Clinic Hours:
Monday, Wednesday, Friday: 9 AM – 5 PM
Tuesday, Thursday: 9 AM – 6 PM
Saturday: 9 AM – 2 PM
Sunday: CLOSED
